A confident smile has always been one of the most powerful expressions of personality and self-assurance. Modern cosmetic dentistry focuses less on dramatic alteration and more on preserving natural beauty while enhancing subtle details that make every smile unique. Today’s aesthetic innovations prioritize comfort, minimal intervention, and refined results that blend seamlessly with existing teeth. In the evolving world of smile enhancement, Non-Prep Veneers in Dubai have emerged as a transformative option for individuals seeking elegance without aggressive dental modification. Rather than reshaping natural enamel extensively, this approach celebrates authenticity, offering a refined appearance that feels effortlessly natural.

The Rise of Gentle Smile Enhancement

The modern beauty philosophy values enhancement over transformation. People increasingly prefer treatments that maintain individuality while improving harmony and balance. This shift has paved the way for minimally invasive cosmetic solutions designed to enhance rather than replace natural features.

Non-prep veneers reflect this philosophy perfectly. They work with the natural structure of teeth instead of altering it significantly. The result is a brighter, smoother, and more symmetrical smile that still feels completely personal.

Unlike traditional methods that may require extensive preparation, this technique focuses on preservation. Maintaining natural enamel allows individuals to enjoy aesthetic improvement while keeping the integrity of their smile intact.

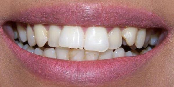
Understanding Non-Prep Veneers

Non-prep veneers are ultra-thin porcelain or ceramic shells designed to fit over the front surface of teeth with little to no enamel removal. Their lightweight construction allows them to bond smoothly while maintaining a natural appearance.

Because they are crafted with precision, they mimic the translucency and light reflection of natural teeth. This subtle realism prevents the artificial look sometimes associated with older cosmetic procedures.

The goal is simple: enhance what already exists rather than replace it. This philosophy appeals to individuals who want improvement without dramatic or permanent alteration.

A Natural Approach to Smile Confidence

One of the most appealing aspects of non-prep veneers is their ability to preserve individuality. Every smile has unique characteristics such as shape, spacing, and texture. Instead of masking these features, the treatment refines them.

Minor discoloration, small gaps, uneven edges, and slight misalignment can be softened through careful veneer placement. The enhancement feels organic because it complements natural proportions rather than changing them completely.

This gentle approach often leads to a confidence boost that feels authentic. People notice the freshness of the smile without immediately identifying what has changed.

Comfort Meets Modern Innovation

Advancements in dental materials and digital design have made non-prep veneers remarkably comfortable. Modern imaging allows precise customization, ensuring that veneers fit naturally against existing teeth.

Because minimal preparation is required, the overall experience is typically smoother and less invasive. Many individuals appreciate the idea of achieving aesthetic refinement without extensive procedures.

Comfort extends beyond the application process. Once placed, veneers integrate seamlessly into daily life, allowing natural speech, eating, and smiling without disruption.

Subtle Transformation With Lasting Impact

The beauty of non-prep veneers lies in their understated elegance. Instead of dramatic change, they deliver gradual refinement that enhances facial harmony.

A well-balanced smile influences the entire appearance of the face. Teeth contribute to expressions, symmetry, and even perceived youthfulness. By refining tooth shape and brightness, veneers can refresh overall facial aesthetics without altering natural identity.

This subtle transformation often results in increased self-confidence in both personal and professional interactions. Smiling becomes effortless rather than self-conscious.

Ideal Candidates for Non-Prep Veneers

Individuals seeking conservative cosmetic enhancement often find this option appealing. Those with healthy teeth who desire aesthetic improvement rather than structural correction may benefit most.

Common goals include enhancing brightness, smoothing uneven edges, closing small spaces, and creating uniformity in tooth shape. Because the technique prioritizes preservation, it aligns with individuals who prefer minimal alteration to natural teeth.

Lifestyle considerations also play a role. Many people value treatments that fit seamlessly into busy schedules while delivering noticeable yet natural results.

The Art of Personalized Smile Design

Every smile tells a story, and personalization is at the heart of successful aesthetic enhancement. Non-prep veneers are designed to complement facial features such as lip shape, skin tone, and overall expression.

Shade selection, translucency, and contouring are carefully tailored to achieve harmony. The aim is never to create identical smiles but to enhance individuality.

A personalized design ensures that results look balanced from every angle, whether in natural daylight, photographs, or conversation.

Confidence That Looks Effortless

True beauty often appears effortless, even when achieved through advanced techniques. Non-prep veneers embody this concept by delivering results that look naturally flawless.

People often describe the outcome as a refreshed version of their own smile rather than a completely new one. This authenticity helps maintain emotional connection to personal identity while enjoying aesthetic improvement.

The psychological impact of feeling confident about one’s smile can influence posture, communication, and overall self-expression.

Caring for Your Enhanced Smile

Maintaining the beauty of non-prep veneers involves simple daily habits. Consistent oral hygiene, mindful eating practices, and routine care help preserve brightness and longevity.

Because veneers are designed to integrate naturally, they become part of everyday life rather than requiring complicated maintenance. Gentle care ensures the smile remains radiant and harmonious over time.

Protecting natural teeth continues to be essential, reinforcing the philosophy of preservation that defines this treatment.

Modern Beauty Trends Favor Natural Results

The global shift toward natural aesthetics extends beyond skincare and fashion into smile enhancement. People increasingly seek results that enhance their appearance without looking artificial.

Non-prep veneers align perfectly with this trend. They offer refinement while maintaining authenticity, allowing individuals to embrace beauty that feels genuine rather than manufactured.

Social media, photography culture, and professional environments have amplified the desire for confident smiles that appear natural in every setting. Gentle precision meets modern expectations by delivering elegance without excess.

Emotional Benefits Beyond Appearance

A smile influences emotional wellbeing more than many realize. Feeling confident about dental appearance can reduce self-consciousness and encourage open communication.

When individuals feel comfortable smiling freely, it impacts social interactions, career confidence, and personal relationships. The transformation goes beyond aesthetics, creating a positive emotional ripple effect.

Non-prep veneers support this emotional uplift by enhancing appearance while preserving familiarity, ensuring that confidence feels authentic rather than forced.

A Future Focused on Preservation

Cosmetic dentistry continues evolving toward minimally invasive techniques. Preservation, personalization, and natural aesthetics now guide innovation.

Non-prep veneers represent this future-focused philosophy. By enhancing beauty without extensive alteration, they align with modern values centered on wellness, comfort, and authenticity.

As technology advances, the emphasis will remain on treatments that respect natural structure while delivering refined elegance.

Book Us

Choosing a smile enhancement journey is a personal decision rooted in confidence and self-expression. If you are ready to explore a refined and natural approach to aesthetic improvement, Non-Prep Veneers offer a gentle path toward radiant transformation while maintaining your authentic smile. At Enfield Royal Clinic Dubai, our service page is designed to guide you through every detail of your smile enhancement experience, helping you discover how subtle precision can elevate confidence and reveal your most naturally beautiful smile.